website traffic statistics

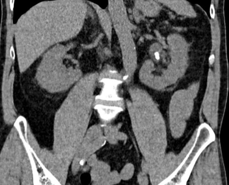
nierensteine ct bilder

mein nierenstein my kidney stone auf diesem ct bild sieh flickr

mein nierenstein my kidney stone auf diesem ct bild sieh flickr

diagnostische bildgebung des urogenitaltraktes

diagnostische bildgebung des urogenitaltraktes

nierensteine wie sie entstehen was dagegen hilft der spiegel

nierensteine wie sie entstehen was dagegen hilft der spiegel

https uro tuebingen de leistungsspektrum niere nieren und harnleitersteine diagnostik html pdf 1333

https uro tuebingen de leistungsspektrum niere nieren und harnleitersteine diagnostik html pdf 1333

dual energy ct radiologie munchen

dual energy ct radiologie munchen

https encrypted tbn0 gstatic com images q tbn and9gcqclemz5thnef6i2ldq1yasq mbjlwuwl7hvw3f6lussaapnhwa usqp cau

https encrypted tbn0 gstatic com images q tbn and9gcqclemz5thnef6i2ldq1yasq mbjlwuwl7hvw3f6lussaapnhwa usqp cau

https www thieme connect de products ebooks pdf 10 1055 b 0036 136226 pdf

https www thieme connect de products ebooks pdf 10 1055 b 0036 136226 pdf

https thieme connect de products ebooks pdf 10 1055 b 0039 171066 pdf

https thieme connect de products ebooks pdf 10 1055 b 0039 171066 pdf

abdominale bildgebung ct mri oder ceus healthcare in europe com

abdominale bildgebung ct mri oder ceus healthcare in europe com

bauch und beckenorgane zentrum fur innovative radiologie

bauch und beckenorgane zentrum fur innovative radiologie

sonographie der niere praxis dr faure in krefeld

sonographie der niere praxis dr faure in krefeld

patient mit vorhofflimmern nierenkolik ohne nierenstein medmedia

patient mit vorhofflimmern nierenkolik ohne nierenstein medmedia

nierensteine harnsteine nephrolithiasis citypraxen berlin

nierensteine harnsteine nephrolithiasis citypraxen berlin

kontrastmittel nutzen uberwiegt meist den schaden healthcare in europe com

kontrastmittel nutzen uberwiegt meist den schaden healthcare in europe com

behandlung von harnsteinen kantonsspital baden ksb

behandlung von harnsteinen kantonsspital baden ksb

nierenkolik klinik und diagnose

nierenkolik klinik und diagnose

obstruktive uropathie wikipedia

obstruktive uropathie wikipedia

nierensteine wie sie entstehen was dagegen hilft der spiegel

nierensteine wie sie entstehen was dagegen hilft der spiegel

diagnostische bildgebung des urogenitaltraktes

diagnostische bildgebung des urogenitaltraktes

abdominale bildgebung ct mri oder ceus healthcare in europe com

abdominale bildgebung ct mri oder ceus healthcare in europe com

radiosurf

radiosurf

nierensteine wie sie am besten entfernt werden rbb

nierensteine wie sie am besten entfernt werden rbb

behandlung von harnsteinen kantonsspital baden ksb

behandlung von harnsteinen kantonsspital baden ksb

https refubium fu berlin de bitstream handle fub188 25808 diekhoff habilitationsschrift pdf sequence 3 isallowed y

https refubium fu berlin de bitstream handle fub188 25808 diekhoff habilitationsschrift pdf sequence 3 isallowed y

diagnostik des nierenzellkarzinoms nierenzellkarzinom erkrankungen therapien urologie uniklinik koln

diagnostik des nierenzellkarzinoms nierenzellkarzinom erkrankungen therapien urologie uniklinik koln

mrt bauch abdominal mrt netdoktor ch

mrt bauch abdominal mrt netdoktor ch

mrt oberbauch radtop de praxis fur radiologie neuroradiologie dr topcu kollegen

mrt oberbauch radtop de praxis fur radiologie neuroradiologie dr topcu kollegen

querschnitt einer niere stockfotos und bilder kaufen alamy

querschnitt einer niere stockfotos und bilder kaufen alamy

querschnitt einer niere stockfotos und bilder kaufen alamy

querschnitt einer niere stockfotos und bilder kaufen alamy

lungenkrebsvorsorge radiologie krankenhaus martha maria nurnberg

lungenkrebsvorsorge radiologie krankenhaus martha maria nurnberg

nierenkolik klinik und diagnose

nierenkolik klinik und diagnose

zystenniere deximed

zystenniere deximed

nierensteine vorbeugung symptome und die richtige behandlung ndr de ratgeber gesundheit

nierensteine vorbeugung symptome und die richtige behandlung ndr de ratgeber gesundheit

behandlung von harnsteinen kantonsspital baden ksb

behandlung von harnsteinen kantonsspital baden ksb

harnsteine loretto krankenhaus freiburg

harnsteine loretto krankenhaus freiburg

ct abdomen nativ harnleiterstein mit nephritis youtube

ct abdomen nativ harnleiterstein mit nephritis youtube

diagnostische bildgebung des urogenitaltraktes

diagnostische bildgebung des urogenitaltraktes

thoraxchirurgie bei hund und katze

thoraxchirurgie bei hund und katze

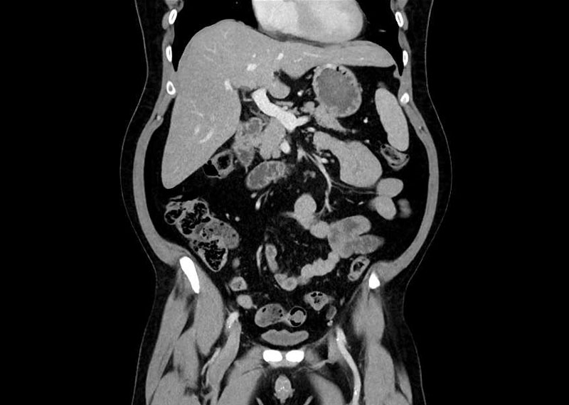
computertomographie des abdomens beckens ct mrt institut berlin

computertomographie des abdomens beckens ct mrt institut berlin

diagnostische bildgebung des urogenitaltraktes

diagnostische bildgebung des urogenitaltraktes